Case Report
Restoration of a Traumatized Maxillary Lateral Incisor Using a Full-Contour Zirconia Crown: A Case Report
- Sarra Nasri *
- Yosra Gassara
- Nissaf Daouahi
- Ilhem Ben Othmen
- Mohamed Chebil
- Amani Adli
- Zohra Nouira
- Jilani Saafi
- Belhassen Harzallah
Department of Prosthodontics, Faculty of Dental Medicine, University of Monastir, Avicenna Avenue, Monastir, Tunisia.
*Corresponding Author: Sarra Nasri, Department of Prosthodontics, Faculty of Dental Medicine, University of Monastir, Avicenna Avenue, Monastir, Tunisia.
Citation: Nasri S, Gassara Y, Daouahi N, Othmen IB, Chebil M, et al. (2025). Restoration of a Traumatized Maxillary Lateral Incisor Using a Full-Contour Zirconia Crown: A Case Report, Dentistry and Oral Health Care, BioRes Scientia Publishers. 4(3):1-4. DOI: 10.59657/2993-0863.brs.25.051
Copyright: © 2025 Sarra Nasri, this is an open-access article distributed under the terms of the Creative Commons Attribution License, which permits unrestricted use, distribution, and reproduction in any medium, provided the original author and source are credited.
Received: August 11, 2025 | Accepted: October 02, 2025 | Published: October 10, 2025
Abstract
Zirconia full-coverage crowns represent a valuable option for anterior restorations, combining strength, biocompatibility, and esthetics. Their success depends on careful case selection, meticulous preparation, and attention to esthetic details. In this clinical case, the choice of a zirconia crown after corono-radicular reconstruction provided a durable and esthetically acceptable solution for restoring a traumatized lateral incisor, while preserving the patient’s natural anterior diastemas per her preference. Advances in CAD/CAM technology and bonding techniques further enhance the reliability and esthetic outcomes of zirconia restorations in anterior teeth.
Keywords: traumatic injuries; adults; anterior teeth
Introduction
Traumatic injuries to anterior teeth are common in young adults and may lead to functional impairment, esthetic concerns, and psychological distress [1]. Maxillary lateral incisors, although less frequently affected than central incisors, play a critical role in smile esthetics due to their position, shape, and contribution to anterior guidance [2]. The choice of restorative material is pivotal in achieving both long-term durability and optimal esthetic integration. Full-contour zirconia crowns offer excellent mechanical properties, biocompatibility, and satisfactory esthetic outcomes, making them a reliable treatment option in cases of severe structural damage [3].
This case report presents the clinical management and prosthetic rehabilitation of a traumatized maxillary lateral incisor using a monolithic zirconia crown, with emphasis on preparation design, shade matching, and functional integration.
Case Report
The patient I.M., 32 years old, presented for the restoration of the severely damaged upper right lateral incisor (tooth 12) following trauma (Figure 1).
Figure 1: Initial Situation.
She also exhibits anterior diastemas. The periapical radiograph reveals insufficient endodontic treatment and a periapical lesion (Figure 2).
Figure 2: Preoperative Radiograph.
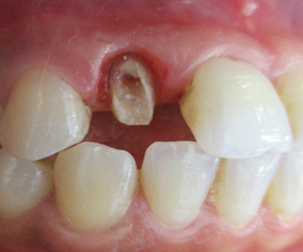
The level of vestibular damage is slightly subgingival. The prosthetic treatment plan consisted of fabricating a zirconia crown after coronoradicular reconstruc-tion. The patient decided to keep the diastemas. The removal of carious tissue and endodontic retreatment were performed (Figure 3).
Figure 3: Post-operative photograph.
The tooth was prepared with a circumferential chamfer margin to provide adequate support for the zirconia crown. Care was taken to preserve as much tooth structure as possible while ensuring sufficient clearance for the prosthetic material. The preparation extended slightly subgingivally on the vestibular wall to manage the damaged area and achieve an optimal emergence profile (Figure 4).
Figure 4: Peripheral Tooth Preparation.
After preparing the post space, the inlay core pattern was sculpted using castable resin. The inlay core was cast, then tried in and cemented intraorally (Figure 5).
Figure 5: Cementation of the cast post-and-core.
The zirconia framework was fabricated using CAD/CAM technology. After try-in on the working model, the fit and validation of the restoration’s esthetics and function were performed intraorally (Figure 6 and 7).
Figure 6: Zirconia Framework.
Figure 7: Try-in of the veneering ceramic.
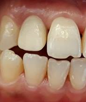
The final cementation was carried out using adhesive resin cement. The patient was satisfied with the esthetic appearance.
Figure 8: Final Result.
Discussion
Zirconia has become a material of choice in restorative dentistry due to its excellent mechanical properties, biocompatibility, and esthetic potential. Its high flexural strength and fracture toughness make it particularly suitable for full-coverage crowns, even in areas subject to significant functional stress such as the anterior region [4,5].
In the esthetic zone, achieving a natural and harmonious appearance is critical. Full-contour zirconia crowns, especially those with improved translucency (such as cubic or multilayered zirconia), provide an optimal balance between strength and esthetics. These materials allow for monolithic restorations that minimize the risk of chipping or delamination commonly observed with traditional porcelain-fused-to-metal (PFM) crowns [6].
Furthermore, zirconia’s excellent marginal fit and compatibility with adhesive cementation protocols contribute to the longevity and clinical success of anterior restorations. The material’s resistance to wear also helps preserve the integrity of the opposing dentition, an important consideration in anterior occlusion [7].
However, certain challenges remain when using zirconia crowns in the anterior region. The inherent opacity of conventional zirconia can limit the reproduction of highly translucent natural enamel, necessitating additional ceramic layering or staining for optimal esthetics. Moreover, precise tooth preparation and proper management of the soft tissues are essential to ensure a seamless integration and emergence profile, especially in the esthetic zone [8].
In this clinical case, the choice of a zirconia crown after corono-radicular reconstruction provided a durable and esthetically acceptable solution for restoring a traumatized lateral incisor, while preserving the patient’s natural anterior diastemas per her preference. Advances in CAD/CAM technology and bonding techniques further enhance the reliability and esthetic outcomes of zirconia restorations in anterior teeth.
Conclusion
In conclusion, zirconia full-coverage crowns represent a valuable option for anterior restorations, combining strength, biocompatibility, and esthetics. Their success depends on careful case selection, meticulous preparation, and attention to esthetic details.
References
- Kaul, R., Saha, S., Koul, R., Saha, N., Mukhopadyay, S., et al. (2023). Prevalence and attributes of traumatic dental injuries to anterior teeth among school going children of Kolkata, India. Medical Journal Armed Forces India, 79(5):572-579.
Publisher | Google Scholor - Tageldin, M. A., Yacout, Y. M., Marzouk, E. S. (2022). Skeletal and dentoalveolar characteristics of maxillary lateral incisor agenesis patients: a comparative cross-sectional study. BMC Oral Health, 22(1):608.
Publisher | Google Scholor - Marchack, B. W., Sato, S., Marchack, C. B., White, S. N. (2011). Complete and partial contour zirconia designs for crowns and fixed dental prostheses: a clinical report. The Journal of Prosthetic Dentistry, 106(3):145-152.
Publisher | Google Scholor - Güth, J. F., Stawarczyk, B., Edelhoff, D., Liebermann, A. (2019). Zirconia and its novel compositions: What do clinicians need to know? Quintessence International, 50(7).
Publisher | Google Scholor - Grech, J., Antunes, E. (2019). Zirconia in dental prosthetics: A literature review. Journal of Materials Research and Technology, 8(5):4956-4964.
Publisher | Google Scholor - Kongkiatkamon, S., Rokaya, D., Kengtanyakich, S., Peampring, C. (2023). Current classification of zirconia in dentistry: An updated review. PeerJ, 11:e15669.
Publisher | Google Scholor - Aljomard, Y. R., Altunok, E. Ç., Kara, H. B. (2022). Enamel wear against monolithic zirconia restorations: A meta‐analysis and systematic review of in vitro studies. Journal of Esthetic and Restorative Dentistry, 34(3):473-489.
Publisher | Google Scholor - Alghauli, M., Alqutaibi, A. Y., Wille, S., Kern, M. (2024). 3D-printed versus conventionally milled zirconia for dental clinical applications: Trueness, precision, accuracy, biological and esthetic aspects. Journal of Dentistry, 144:104925.
Publisher | Google Scholor








