Case Report
Oropharyngeal Lymphoma: 3 Cases and Literature Review
- Chaimaa Rsaissi *
- A.Tahiri
- M. Lahjaouj
- M . Loudghiri
- W.Bijou
- Y.Oukessou
- S.Rouadi
- R.Abada
- M.Roubal
- M.Mahtar
ENT Head and Neck Surgery Department, Faculty of Medicine and Pharmacy, Ibn Rochd University Hospital, Hassan II University, Casablanca, Morocco.
*Corresponding Author: Chaimaa Rsaissi, ENT Head and Neck Surgery Department, Faculty of Medicine and Pharmacy, Ibn Rochd University Hospital, Hassan II University, Casablanca, Morocco.
Citation: Rsaissi C., Tahiri A., Lahjaouj M., Loudghiri M., Bijou W., et al (2026). Oropharyngeal Lymphoma: 3 Cases and Literature Review, International Clinical Case Reports and Reviews, BioRes Scientia Publishers. 4(1):1-3. DOI: 10.59657/2993-0855.brs.26.041
Copyright: © 2026 Chaimaa Rsaissi, this is an open-access article distributed under the terms of the Creative Commons Attribution License, which permits unrestricted use, distribution, and reproduction in any medium, provided the original author and source are credited.
Received: October 01, 2025 | Accepted: December 23, 2025 | Published: January 28, 2026
Abstract
The head and neck are the second most common region for the extra-nodal lymphomas after that of gastrointestinal tract. It should be considered as possible diagnosis of any lesion in this region, especially if the typical factors for squamous cell carcinoma such as Tabaco use are absent. It can involve virtually any region, including the orbit, paranasal sinuses, salivary glands, or thyroid but the waldeyer's ring is the most common site involving the oral region. Communication with the surgeon and pathologist is essential to prevent an incorrect or delayed diagnosis. In this paper we report three cases of oropharyngeal lymphoma which were managed successfully with chemotherapy and a review of the related literature.
Keywords: lymphoma; oropharyngeal; treatment; non-hodgkin lymphoma
Introduction
Malignant lymphomas represent approximately 5% of all malignant neoplasms of the head and neck area. Oropharyngeal B-cell lymphoma is a rare type of non-Hodgkin lymphoma (NHL) that affects the oropharynx, which includes the tonsils, base of the tongue, soft palate, and walls of the throat. It arises from B lymphocytes (B cells), a type of white blood cell responsible for immune function.
Types of B-cell Lymphomas in the Oropharynx
Diffuse Large B-cell Lymphoma (DLBCL) – The most common and aggressive type.
Follicular Lymphoma – A slow-growing (indolent) form.
MALT Lymphoma (Mucosa-Associated Lymphoid Tissue)-A rare, low-grade type.
Burkitt Lymphoma – A highly aggressive subtype, often associated with Epstein-Barr virus (EBV).
Symptoms: Painless swelling in the throat or tonsils, Difficulty swallowing (dysphagia), Hoarseness or voice changes, Persistent sore throat, enlarged lymph nodes in the neck Night sweats, weight loss, or fever (B symptoms) are often missing (2) or asymptomatic enlargement of one tonsil is common. Extra nodal NHL in the head and neck is usually submucosal rather than ulcerative, as seen in squamous cell carcinoma [2].
Case Presentation
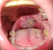
The first case concerns a 53 years old male patient with no specific history admitted to the emergency for recent dysphagia complicated 2 days ago with complete aphagia as well as recurrent episodes of dyspnea, clinical exam revealed tonsillar mass obstructing the oropharynx the patient underwent tracheostomy as well as gastrostomy. Biopsy revealed diffuse large B-Cell lymphoma of the oropharynx, TEP scan was made and reveals no metastasis. This patient was managed successfully with 7 of Rituximab, Cyclophosphamide, Doxorubicine Vincristine, and prednisone (RCHOP) regimen the chemotherapy was complicated with sensoneurinal hearing loss due to ototoxicity tracheostomy and gastrostomy were successfully removed.
Figure 1: Clinical Aspect of case 1 and a cervical scan showing a left tonsillar mass obstructing the oropharynx
The second case concerns a 19 male first diagnosis with oropharyngeal actinomycosis that failed medical treatment second biopsy revealed large B Cell lymphoma nasal pit at early stage. This case was managed successfully (CHOP) regimen.
Figure 2a: clinical aspect of case 2
Figure 2b: After 3 Weeks of treatment
The third case was 58 years old male who presented with left tonsil mass biopsy revealed also Large B cell lymphoma managed with (CHOP) regimen with no long-term complications.
Figure 3 : clinical aspect of case 3
Discussion
In the literature Diffuse large B cell lymphoma (DLBCL) was the most common histologic subtype involving 56.9% of cases followed by mature T- and NK-cell neoplasms (11.2%) and precursor lymphoid neoplasms (1.6%) DLBCL is the histological subtype found in all the three of our patients. The most common sub site of origin was the tonsil, with 71% of lymphomas originating from there followed by the palate, rarely the maxilla / mandible [3,4].
In our case 2 were originating from the tonsil and one case from the soft palate. The meta-analysis made by Rayess and All find out that the presence of B symptoms, tumors originating from the soft palate and patients with T cell tumors have the worst prognosis [3].
The majority of lymphomas have the potential to be cured; however, the stage at which they are presented greatly influences survival rates, as individuals with widespread disease tend to have a poor prognosis [5,6]. Tumors located in the oropharynx must exceed 4 cm in size before noticeable symptoms arise, which greatly hinders early diagnoses that could save lives [7,8]. Data regarding the effects of age, gender, histological subtype, and specific oropharyngeal sites on survival are limited and often contradictory, primarily due to the infrequency of the disease.
Conclusion
Oropharyngeal lymphoma most commonly originates from the tonsil. DLBCL is the most common subtype and has a good prognosis. These three cases highlight the importance of early diagnosis for achieving successful treatment cure based on CHOP regimen for patients having an early-stage head and neck lymphoma. The first case suggests that even when locally advanced the head and neck B cell lymphoma often respond well to chemotherapy with complete resolution of the compressive symptoms; the second case highlight the importance of repeating the biopsy when specific infection fails usual treatment.
References
- Joel B. Epstein, Joshua D. Epstein, Nhu D. Le, Meir Gorsky. (2001). Characteristics of oral and paraoral malignant lymphoma: A population-based review of 361 cases,Oral Surgery, Oral Medicine, Oral Pathology, Oral Radiology, and Endodontology, 92(5).
Publisher | Google Scholor - Zapater, E., Bagán, J., Carbonell, F., & Basterra, J. (2010). Malignant lymphoma of the head and neck. Oral Diseases, 16(2):119-128.
Publisher | Google Scholor - Rayess HM, Nissan M, Gupta A, Carron MA, Raza SN, Fribley AM. (2017). Oropharyngeal lymphoma: A US population-based analysis. Oral Oncol. 73:147-151.
Publisher | Google Scholor - Akbari ME, Bastani Z, Mokhtari S, Atarbashi MS. (2015). Oral lymphoma prevalence in iranian population: a multicenter retrospective study. Iran J Cancer Prev. 8:e4124.
Publisher | Google Scholor - Martelli M, Ferreri AJM, Agostinelli C, Di Rocco A, Pfreundschuh M, Pileri SA. (2013). Diffuse large B-cell lymphoma. Crit Rev Oncol Hematol. 87:146-171.
Publisher | Google Scholor - Mey U, Hitz F, Lohri A, Pederiva S, Taverna C, Tzankov A, et al. (2012). Diagnosis and treatment of diffuse large B-cell lymphoma. Swiss Med Wkly.
Publisher | Google Scholor - Saul SH, Kapadia SB. (1985). Primary lymphoma of Waldeyer’s ring. Clinicopathologic study of 68 cases. Cancer. 56:157-166.
Publisher | Google Scholor - Hoppe RT, Burke JS, Glatstein E, Kaplan HS. (1978). Non-Hodgkin’s lymphoma: involvement of Waldeyer's ring. Cancer. 42:1096-1104.
Publisher | Google Scholor




