Case Report
Management of Completely Edentulous Patient with Compromised Residual Alveolar Ridges Using Specialised Impression Techniques
- Captain Satbir Kaur *
Army Dental Corps, Indian Army, India.
*Corresponding Author: Captain Satbir Kaur, Army Dental Corps, Indian Army, India.
Citation: Captain Satbir Kaur. (2026). Management of Completely Edentulous Patient with Compromised Residual Alveolar Ridges Using Specialized Impression Techniques. Dentistry and Oral Health Care, BioRes Scientia Publishers. 5(1):1-5. DOI: 10.59657/2993-0863.brs.26.059
Copyright: © 2026 Captain Satbir Kaur, this is an open-access article distributed under the terms of the Creative Commons Attribution License, which permits unrestricted use, distribution, and reproduction in any medium, provided the original author and source are credited.
Received: February 02, 2026 | Accepted: March 09, 2026 | Published: March 19, 2026
Abstract
Rehabilitation of edentulous patients with resorbed ridges can be difficult, more so when associated with systemic conditions. This case describes the management of patient with diabetes mellitus, a long history of denture use, and compromised residual alveolar ridges. As the patient did not consent to surgical correction, a conservative prosthodontic approach was followed. Special modifications in impression techniques (Modified Hobkirk approach in Upper and Atwood’s Cocktail Impression technique for lower impression) were carried out to improve denture retention, stability, and comfort while protecting the supporting tissues. This manuscript presents case report illustrating the application of both impression techniques.
Keywords: edentulous ridge; flabby tissue; impression techniques; complete denture; residual ridge resorption
Introduction
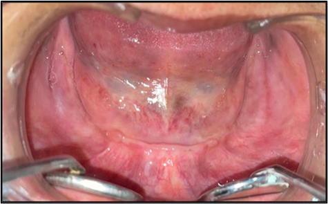
The rehabilitation of completely edentulous patients remains a clinical challenge, particularly in the presence of compromised ridge condition such as flabby tissues. According to Glossary of Prosthodontic Terms (GPT) 9-Flabby tissue is defined as excessive, movable tissue. Flabby tissue or hypermobile ridge tissue is commonly seen in the anterior part of the edentulous maxillary ridge or an atrophic knife-edge mandibular ridge which adversely affect the support, stability and retention of conventional dentures. It is commonly associated with long-term denture wear, traumatic occlusion or residual ridge resorption. Successful management requires accurate impression techniques that record the flabby tissues without distortion, thereby ensuring optimal prosthesis function and patient comfort.
Case Report
A 58-year-old female, presented with complaint of constant dislodgement of her denture during chewing, accompanied by significant difficulty in chewing food over the past eight months. Her dental history showed a gradual loss of teeth spanning approximately seven years, with complete edentulism established six years ago. A pre-treatment panoramic radiograph revealed generalized alveolar bone resorption, more pronounced in the mandibular ridge. The maxillary alveolar ridge exhibited moderate resorption, with diminished bone height particularly in the anterior region corresponding to the flabby premaxillary tissue. A conservative, non-surgical prosthodontic rehabilitation was planned.
Edentulous Maxillary Impression
Upper Primary impression was made using Alginate in perforated edentulous tray and primary cast was poured followed by custom tray fabrication incorporating a double spacer (1.5 mm thickness) over the flabby tissue and in the region of mid palatine raphe (0.3 mm spacer). Border molding was done using with green stick impression compound. Space wax was removed and the impression was made with PVS material. The tray was then removed from the mouth and impression material was removed in the region of flabby tissue using a scalpel. Relief holes were made in the tray and the tray was loaded in the region with light body elastomeric impression material to record flabby tissue. A master cast was poured from the impression by beading and boxing.
Edentulous Mandibular Impression
The primary cast was made using previous denture with alginate. The custom tray is fabricated using auto polymerizing acrylic resin. The special tray is made with 1mm spacer and cylindrical mandibular rest in posterior region are made at increased vertical height. High-fusing green stick compound was softened and placed on top of the mandibular rest and inserted in the patient’s mouth. The patient was advised to close her mouth. Adjustments were made so that the mandibular rest fit against the maxillary alveolar ridge properly. For final impression the wax spacer was removed, the impression compound and green stick compound in a 3:7 ratio was placed in water
at about 60°C and kneaded to a homogeneous mass and guided to close the mouth in rest. For recording the functional state, the patient is instructed to run his tongue along his lips, suck in cheeks, pull in her lips and swallow by keeping the mouth closed.
The master casts were fabricated and maxillomandibular relations were established. A trial denture was arranged with zero-degree acrylic teeth to provide monoplane occlusion. The final dentures were processed, finished and delivered, with detailed patient education on use, care and maintenance, followed by scheduled reviews.
Figure 1: Flabby Anterior Maxillary Ridge.
Figure 2: Resorbed Mandibular Ridge.
Figure 3: Inter-arch Space.
Figure 4: Existing Dentures.
Figure 5: Pre-Treatment OPG.
Figure 6: Upper Primary Cast & Border Moulding.
Figure 7: Recording of Flabby Tissue.
Figure 8: Secondary Impressions using PVS Material.
Figure 9: Beading, Boxing & Master Casts.
Figure 10: Mandibular Primary Cast, Stock Tray with Vertical Pillar & Secondary Impression using Cocktail Technique.
Figure 11: Jaw Recording using Hanau Articulator.
Figure 12: Try In.
Discussion
Edentulous patients with resorbed ridges or flabby tissues present special challenges for complete denture fabrication. Standard techniques may not provide adequate support, stability, or retention, making it necessary to adapt clinical approaches to individual needs. In this case, the maxillary impression was made using a modified Hobkirk technique. The principle behind this method is to record the firm tissues under functional pressure while capturing the flabby areas in a minimally displaced state. This selective recording helps to improve stability without transmitting undue stresses to mobile tissues.
For the mandibular arch, an admixed impression method was chosen. By combining impression compound with green stick compound, this approach provides both the advantages of border shaping and fine tissue detail. Such a cocktail technique is particularly useful in compromised mandibular ridges, where achieving a balance between support and retention is often difficult. During teeth arrangement, a monoplane occlusal scheme was selected. This design minimises lateral forces and distributes occlusal loads more evenly, which is especially beneficial in patients with reduced residual ridge height and compromised neuromuscular control.
Conclusion
The overall outcome of this case emphasizes the value of modifying impression and occlusal procedures according to the clinical situation. Tailored techniques not only enhance denture function but also improve patient comfort and acceptance.
References
- The Glossary of Prosthodontic Terms. 9th ed. J Prosthetic Dent. (2017). 117(5S):e1-105.
Publisher | Google Scholor - Labban, N. (2018). Management of The Flabby Ridge Using a Modified Window Technique and Polyvinylsiloxane Impression Material. The Saudi Dental Journal, 30(1):89-93.
Publisher | Google Scholor - Watson, R. M. (1970). Impression Technique for Maxillary Fibrous Ridge. British Dental Journal, 128(11):552.
Publisher | Google Scholor - Horrocks EN. (1985). Special impression technique for patients with flabby maxillary ridges. Dent Update. 12(9):539-542.
Publisher | Google Scholor - Lynch, C. D., Allen, P. F. (2006). Management of the flabby ridge: using contemporary materials to solve an old problem. British Dental Journal, 200(5):258-261.
Publisher | Google Scholor - Basker, R. M., Davenport, J. C., Thomason, J. M. (2011). Prosthetic Treatment of The Edentulous Patient. John Wiley & Sons.
Publisher | Google Scholor - Nayar Islam. (2020). Management of Flabby Maxillary Anterior Ridge by Modified Horbkirk Technique: A Case Report. Int J Appl Dent Sci. 3(1):294-298.
Publisher | Google Scholor












