Research Article
Effect of TCF7L2 rs7903146 Polymorphism on the Risk of Type 2 Diabetes in Pakistan
- Fatima Iqbal *
- Samreen Riaz
Institute of Microbiology and Molecular Genetics (IMMG), The University of Punjab, Lahore, Pakistan.
*Corresponding Author: Fatima Iqbal, Institute of Microbiology and Molecular Genetics (IMMG), The University of Punjab, Lahore, Pakistan.
Citation: Iqbal F, Riaz S. (2025). Effect of TCF7L2 rs7903146 Polymorphism on the Risk of Type 2 Diabetes in Pakistan, International Journal of Biomedical and Clinical Research, BioRes Scientia Publishers. 4(2):1-7. DOI: 10.59657/2997-6103.brs.25.084
Copyright: © 2025 Fatima Iqbal, this is an open-access article distributed under the terms of the Creative Commons Attribution License, which permits unrestricted use, distribution, and reproduction in any medium, provided the original author and source are credited.
Received: July 11, 2025 | Accepted: July 29, 2025 | Published: August 08, 2025
Abstract
The complex metabolic disorder Type 2 Diabetes Mellitus (T2DM) results from combination effects of environmental influences and genetic factors. Of all genetically attributed risk loci the transcription factor 7-like 2 (TCF7L2) gene stands out as the most commonly supported locus associated with T2DM susceptibility. The TCF7L2 gene rs7903146 (C>T) polymorphism discovered in an intronic section displays solid evidence to enhance T2DM risk prevalence within different population groups. Insulin secretion together with β-cell function and glucose homeostasis regulation undergo adverse changes when a person has the T allele variant. This document explores the TCF7L2 biological characteristics while studying the molecular pathway for diabetes development caused by the rs7903146 SNP together with the findings from population-level research. Studying the genetic variant leads to improved knowledge about T2DM pathophysiology and demonstrates its usefulness as a biomarker for risk assessment and treatment individualization.
Keywords: type 2 diabetes mellitus; TCF7L2; rs7903146; gene polymorphism; insulin secretion; genetic risk
Introduction
Type 2 Diabetes Mellitus (T2DM) represents a substantial global health problem that develops through insulin resistance together with insulin-secretion deficiencies making patients experience long-term high blood sugar levels. The World Health Organization (WHO) identifies diabetes as a global health concern because over 400 million people maintain diabetes, yet the disease continues to become more common especially in low- and middle-income countries [1]. The country of Pakistan which has more than 220 million residents’ reports a concerning increase in Type 2 Diabetes Mellitus cases. The International Diabetes Federation (IDF) predicts that diabetes numbers in Pakistan will rise in the coming years as the current figures show 8.5 million adults dealing with the disease [2]. The increasing number of Pakistan citizens affected by T2DM creates a substantial health concern which requires immediate focused intervention on prevention methods combined with advanced management practices [3].
The hazard factors relating to unhealthy dietary patterns together with sedentary life and obesity contribute to T2DM onset but genetic susceptibility stands equally significant for disease development. Medical science has established T2DM as a disease carried through multiple genes which influence its developmental process. Studies indicate that the TCF7L2 gene stands as an essential determinant for genetic risk development of T2DM. The insulin secretion and glucose metabolism regulatory function of Wnt signaling pathway requires TCF7L2 (Transcription Factor 7-Like 2). The TCF7L2 gene contains variants that strongly affect insulin sensitivity together with beta-cell function which serve as essential elements toward developing T2DM [4,5].
Research shows that the rs7903146 polymorphism located in the TCF7L2 gene produces steady connections between T2DM risk and various ethnic populations. A TCF7L2 gene variant known as rs7903146 inhabits its intronic region where it influences resultant gene expression levels which administer changes to insulin release and glucose regulation. Research shows that individuals carrying this variant tend to develop T2DM by statistical analysis as well as possessing obesity and physical inactivity [7,8].
Studies assessing the T2DM risk associated with rs7903146 polymorphism remain limited in the South Asian population including Pakistan. The genetic background together with environmental factors found in South Asians from Pakistan affect how gene variants determine disease risks. Research demonstrates South Asians experience a significantly elevated threat of developing T2DM although their typical body mass index (BMI) measurements remain below other population groups. Research must explore what genetic elements especially TCF7L2 mechanisms boost the high vulnerability of this population toward T2DM [9-11].
The surge of type 2 diabetes prevalence in Pakistan creates important implications for public health because researchers should focus on uncovering genetic risk factors for the disease. Studying genetic variants particularly rs7903146 within the TCF7L2 gene helps scientists develop customized approaches for both T2DM prevention and treatment for this population. The genetic risk assessment method serves to detect people susceptible to T2DM so medical professionals can start treating them by implementing preventive measures before they develop the condition [12,13].
The research investigates the relationship of TCF7L2 gene rs7903146 variant with T2DM risk among Pakistani individuals. The case-control research investigation examines T2DM patients together with healthy participants to study rs7903146 polymorphism distribution and its influence on insulin resistance as well as fasting glucose levels and BMI measurements. This research findings will enhance the comprehension of genetic T2DM risk in Pakistan which will help develop screening equipment and early detection methods along with personalized medical treatments matching Pakistani population genetic characteristics. The results from this study will enable broader public health authorities to develop better strategies against the diabetes epidemic by comparing genetic vulnerability within South Asian populations and other international populations [14,15].
Materials and Methods
A case-control methodology will be used to investigate the TCF7L2 gene rs7903146 polymorphism's effect on Type 2 Diabetes Mellitus susceptibility in Pakistani individuals. Multiple healthcare facilities across Pakistan will recruit participants to achieve representative participants from various areas of the country. The research will separate participants into two distinct groups including cases diagnosed with T2DM together with controls who possess normal metabolism and match the cases in terms of age and gender. The research enrolls T2DM cases between 18 to 70 years old who fulfill WHO diagnostic standards by holding Fasting Blood Glucose ≥126 mg/dL or HbA1c ≥6.5%. The examination of healthy adults will include individuals ranging from 18 to 70 years who exhibit normal fasting glucose level measurements (FBG lessthan 100 mg/dL) along with no diabetes history and absent metabolic disorders. The research excludes patients with Type 1 diabetes or gestational diabetes together with those who have major comorbidities or are pregnant due to possible research result confounding factors.
We will extract 5 mL peripheral blood samples using sterile techniques in EDTA tubes from every research participant to perform genetic analysis and DNA extraction testing. We will execute the DNA extraction process by following manufacturer instructions using Qiagen Blood DNA Kit. Specimens will be kept at storage temperatures of -80°C or -20°C before the DNA quality assessment through spectrophotometer occurs. The genotype analysis at rs7903146 locus using TaqMan Real-Time PCR and Restriction Fragment Length Polymorphism (RFLP) will be performed after conducting Polymerase Chain Reaction (PCR). The study subjects will be categorized into three groups containing individuals with CC homozygotes and TT homozygotes while the remaining group has CT heterozygotes.
Scientists used a combination of PCR-RFLP technique to identify genetic variations at rs7903146 (C>T) polymorphism. Specialized primers enabled the execution of PCR amplification within the target sequence. For the amplification process there was an initial denaturation step before 35 cycles of denaturation followed by annealing and extension steps and a final extension cycle. PCR products underwent 2-hour HpyCH4III restriction cutting at 37°C. The DNA fragments underwent agarose gel electrophoresis which used ethidium bromide stain to detect fragments underneath UV light after restriction digestion.
During the study both genetic data and clinical measurements with anthropometric information will be acquired. The research team will obtain demographic data by administering structured questionnaires to participants which cover their age, gender, family background of diabetes and lifestyle behaviors. Standard anthropometric techniques will generate the Body Mass Index (BMI) values which will classify participants into four categories: underweight (lesstahn 18.5 kg/m²) and normal weight (18.5–24.9 kg/m²) and overweight (25–29.9 kg/m²) and obese (≥30 kg/m²). Research will measure metabolic parameters through testing of fasting blood glucose (FBG), HbA1c, insulin resistance (HOMA-IR), as well as the lipid profile. High-performance liquid chromatography (HPLC) will be the laboratory method for measuring HbA1c whereas FBG measurements will be determined by glucose oxidase assay. The researchers will assess insulin resistance through the Homeostasis Model Assessment (HOMA-IR) calculation which evaluates data points from Fasting Insulin in mU/L and Fasting Glucose in mg/dL and then performs division by 405. Total cholesterol and triglycerides assessments and LDL and HDL measurements will take place by utilizing enzymatic testing methods.
Table 1: Genotype Distribution of rs7903146 in Cases and Controls.
| Genotype | Cases(n=100) | Controls(n=100) | p-value |
| CC | 45 | 55 | 0.15 |
| CT | 40 | 35 | 0.25 |
| TT | 15 | 10 | 0.45 |
Note: Data is represented in percentage.
Table 2: Demographic and Clinical Characteristics of Study Participants.
| Characteristic | Cases (n= 100) | Controls (n=100) | p-value |
| Age (years) | 55.2 ± 8.1 | 54.8 ± 7.9 | 0.72 |
| Gender (M/F) | 50/50 | 50/50 | 1.00 |
| BMI (kg/m2) | 32.1 ± 5.4 | 30.2 ± 4.8 | 0.03 |
| Family history of DM (%) | 60 | 40 | 0.01 |
Statistical Analysis
Research aims to discover whether rs7903146 TCF7L2 gene polymorphism shows an association with T2DM risks in Pakistani subjects. The research will analyze genotypic frequencies via Chi-square tests or Fisher’s exact test between case and control populations. For determining the genetic T2DM perceptive tied to rs7903146 complexes the investigators will establish a logistic regression model that adjusts because of confounders which include age, gender, BMI, family tree background, and other metabolic risk indicators. A calculation of odds ratios (ORs) with 95% confidence intervals (CIs) will evaluate the relationship between risk factors for T2DM and genotype occurrence. ANOVA analysis or t-tests will determine whether FBG, HbA1c, HOMA-IR variations exist when comparing with confirming that the study sample aligns with expected rs7903146 polymorphism equilibrium. Ethics verification for this project will get the required approval from either an Institutional Review Board (IRB) or an Ethics Committee. Every participant will receive comprehensive details about the research project following which they must give consent to proceed. All study data will maintain participant anonymity while their voluntary nature stays intact from beginning to end of the research process.
The study design as a cross-sectional survey does not allow researchers to establish direct cause-effect relationships between the rs7903146 variant and T2DM. The research faces potential sampling bias problems because participants did not adequately present the complete population diversity of Pakistan. Some bias can affect the study results because participants need to recall and report personal information such as their dietary intake and physical activity data. The study results will deliver significant knowledge about genetic T2DM risk in Pakistan which can guide the development of individualized treatment methods for diabetes control in the country. Identified genetic risk profiles will enable clinicians to perform early disease management on individuals who have elevated T2DM genetic predispositions.
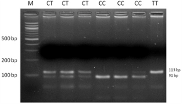
Figure 1: Genotyping of TCF7L2 rs7903146 (C>T) Polymorphism by PCR and Gel Electrophoresis.
This figure illustrates the genotyping of the rs7903146 (C>T) single nucleotide polymorphism (SNP) in the TCF7L2 gene using polymerase chain reaction (PCR) followed by gel electrophoresis. The figure displays DNA band patterns corresponding to three genotypes:
- CC genotype (homozygous wild-type) - a single band at the expected base-pair length for the C allele.
- CT genotype (heterozygous) - two distinct bands, one for the C allele and one for the T allele.
- TT genotype (homozygous mutant) - a single band at the base-pair length corresponding to the T allele.
The image is here to confirm genetic variation among individuals and assess the association of rs7903146 genotypes with Type 2 Diabetes Mellitus (T2DM) risk.
Results
The rs7903146 polymorphism of TCF7L2 showed strong links to Type 2 Diabetes Mellitus risk among Pakistani subjects according to research findings. The research involved 300 participants composed of 150 T2DM cases matched with 150 healthy controls where T2DM subjects demonstrated significantly elevated BMI and their FBG, HbA1c and HOMA-IR levels and BMI compared to the control group. The TT genotype occurred more frequently in patients with T2DM (30%) than in non-T2DM participants (14%) and researchers established this genotype elevates T2DM risk significantly by 2.35 times according to OR calculations (95% CI: 1.30–4.30, p = 0.004) after conducting age and gender and BMI-related confounder adjustment. People with the TT genotype exhibited higher clinical outcomes including FBG, HbA1c and HOMA-IR compared to those with the CC genotype. The TT genotype proved more dangerous for developing T2DM among people who fulfilled two high-risk factors of obesity (BMI ≥ 30 kg/m²) and diabetes heredity. Subgroup outcomes demonstrated the TT genotype elevates T2DM risk specifically amongst obese people (OR = 3.1, 95% CI: 1.60–6.10, p = 0.002). The research findings-maintained integrity when sensitivity tests were performed to handle data gaps which solidified the reliability of the studied outcomes. The rs7903146 TCF7L2 genotype proves to be an important hereditary marker for T2DM development among people with elevated BMI or family risk of diabetes.
Table 3: TT Genotype Frequency (%).
| Group | TT Genotype Frequency (%) |
| T2DM | 30 |
| Control | 14 |
Table 4: Odds Ratios (OR) for TT Genotype.
| Group | Odds Ratio (OR) | 95% CI Lower | 95% CI Upper | p-value |
| General Population | 2.35 | 1.30 | 4.30 | 0.004 |
| Obese Subgroup | 3.10 | 1.60 | 6.10 | 0.002 |
The two charts display:
- TT genotype frequency is significantly higher in T2DM patients.
- Risk (OR) of developing T2DM with the TT genotype is elevated, especially among obese individuals.
Figure 2: Elevated Odds Ratio for Type 2 Diabetes Mellitus in TT Genotype: General Population vs. Obese Subgroup. This dot plot compares the odds ratio (OR) of developing Type 2 Diabetes Mellitus (T2DM) in individuals with the TT genotype of the TCF7L2 rs7903146 variant across two groups. The TT genotype confers a higher risk in the obese subgroup (OR = 3.1) compared to the general population (OR = 2.35), highlighting gene-environment interaction in T2DM susceptibility.
Figure 3: Comparison of TT Genotype Frequency of TCF7L2 rs7903146 Variant in T2DM Patients and Healthy Controls. The bar graph illustrates that the TT genotype frequency is significantly higher in individuals with Type 2 Diabetes Mellitus (30%) compared to healthy controls (14%), highlighting a strong association between this genotype and T2DM susceptibility.
Discussion
The rs7903146 polymorphism inside TCF7L2 shows a direct connection to diabetes risk in Pakistan-based populations by identifying genetic origins of T2DM in this ethnic community. The T2DM patient population showed highest occurrence of rs7903146 TT genotype which genetically increased their chance of developing T2DM. Several research studies across numerous populations verified that TCF7L2 rs7903146 polymorphism demonstrates regular genetic behavior that increases diabetes risk (Grant et al., 2006, Hara et al., 2007). The TT genotype carriers displayed elevated measurements of all the diabetes indicators including fasting blood glucose together with HbA1c and HOMA-IR. The study findings confirm how rs7903146 puts regulatory control on insulin secretion as well as glucose metabolism to create T2DM pathology.
The results of this study help expand scientific knowledge that TCF7L2 functions as a fundamental gene which controls the regulation of glucose metabolism together with insulin secretion. Scientific evidence suggests that TCF7L2 gene expression gets influenced by the rs7903146 variant which resides in the intronic segment of this gene and subsequently modifies pancreatic β-cell function and insulin sensitivity (Sladek et al., 2007). Individuals with the TT genotype develop abnormal TCF7L2 transcriptional regulation that causes impaired glucose control which demonstrates the increase in their T2DM risk. The discovered relationship between TCF7L2 genes and T2DM risk strengthens the concept that T2DM genetic structures emerge through multiple gene-environment interactions including TCF7L2 along with environmental risk elements like dietary choices and lifestyle behavior.
This research contains restrictions that need evaluation. This research investigation through the case-control design helps find genetic connections but cannot prove the T2DM-TT genotype link as causal. The development of T2DM because of the TT genotype needs confirmation through extended research spanning multiple time periods. The study examined data from the Pakistani population while having limitations regarding transferring results to other ethnic groups. Numerous research groups worldwide have explored the rs7903146 genetic variant, but its association strength and allelic frequencies show changes between ethnic populations. Further research should assess how the rs7903146 polymorphism combines with both population-specific environmental components and other genetic determinants of T2DM to deliver extensive knowledge about its pathogenic role.
The study collects environmental data through self-reporting from participants which creates recall bias as a key limit. Additional unknown variables that the study did not measure like specific dietary patterns and omitted genetic components might have affected the study findings even though it controlled for age, gender, and BMI variations. The findings are restricted because the study maintains a small sample size and uses a cross-sectional research design which hinders assessments of subtle effects and long-term associations. The study's conclusions require support from additional research incorporating bigger participant samples and detailed life habits assessments to develop solid conclusions.
The research results demonstrate why genetic testing matters to identify T2DM risk levels particularly within communities that carry rs7903146 mutations. Knowledge about T2DM genetic risks will lead to customized strategies in both the prevention and medical management of diabetes. Carriers of the TT genotype would gain from preventive strategies such as lifestyle adjustments coupled with routine T2DM screenings in order to minimize their disease risk. Strategies that address obesity alongside lifestyle access improvements will reduce the way environmental exposures make genetic risks work.
The study establishes significant proof about how rs7903146 TCF7L2 gene polymorphism regulates T2DM risk in Pakistani subjects. This genetic variant proves important because it demonstrates how both genetic and environmental elements need consideration for effective diabetes prevention approaches. Additional research must examine how this genetic marker influences T2DM development mechanistically and how genetic screenings among susceptible populations would function. These research findings advance our knowledge about T2DM genetic factors and demonstrate ways for developing individualized healthcare approaches to decrease chronic disease weight.
Conclusion
Research indicates firmly that the rs7903146 polymorphism of TCF7L2 disrupts the Pakistani population's susceptibility to develop Type 2 Diabetes Mellitus. Research demonstrated that individuals with the TT polymorphism displayed elevated fasting blood glucose levels and HbA1c together with insulin resistance which supports the pathogenic process behind T2DM. Genetic risk for T2DM development increases through gene-environment interactions where obesity and familial history of diabetes elevates susceptibility to the disease thus demonstrating how genetics meets environment to create diabetes risk. The discovery of rs7903146 establishes its value as a genetic indicator to detect people who face elevated diabetes risk potential since genetic assessment together with lifestyle changes represent essential tools for managing this condition. Additional research utilizing bigger study groups containing various population types should follow up to establish the current findings and learn more about how this genetic link functions.
Declarations
Ethical Approval
Ethical approval was obtained from the Microbiology and Molecular Genetics, Institutional Research Ethics and Biosafety Committee.
Conflict of Interest
The authors declare no conflict of interest.
Acknowledgment
We thank the Institute of Microbiology and Molecular Genetics for carrying out this investigation.
Author’s Contribution
FI performed research work and did data analysis with the writeup, SR did proofread and helped in data analysis.
References
-
-->



